Сегодня, 12 марта, во Всемирный день почки, балаковские медики рассказали о том, как спасли мужчину, в почке которого нашли огромную воспалённую кисту. Об этом случае написали в Telegram-канале ГУЗ СО «Балаковская городская клиническая больница».
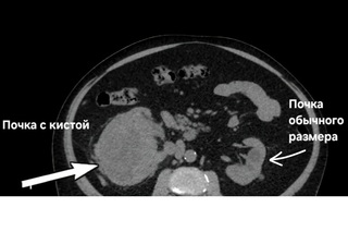
«В урологическое отделение БГКБ поступил 63-летний житель Балаково. О наличии у себя кисты почки мужчина знал давно, но от оперативного лечения отказывался, предпочитая просто «наблюдать». Со временем ситуация осложнилась мочекаменной болезнью. После попытки лечения в другом городе у пациента развилось тяжелое осложнение — инфицирование кисты.
Когда пациент поступил в стационар городской больницы, его состояние было критическим. Киста превратилась в огромный очаг воспаления. В ходе экстренной операции врачи дренировали из почки 400 миллилитров инфицированной жидкости.
Ситуация осложнилась резистентностью бактерий. Инфекция в организме пациента была устойчива практически ко всем современным препаратам. Чувствительность сохранилась лишь к одному-единственному антибиотику. Благодаря правильно подобранной терапии, температуру удалось сбить за пару дней. Сейчас пациент готовится ко второму этапу — плановому удалению стенок кисты лапароскопическим (малотравматичным) методом», — рассказали медики.
- «Пережила неудачные ЭКО, готовилась к операции в Санкт-Петербурге»: жительница региона рассказала о счастье, обретённом после девяти лет бесплодия
- Балаковские врачи обнаружили в теле пациентки «бомбу замедленного действия»
- К балаковским медикам пришёл пациент с «сердцем старика в 32 года»: история спасения
- Балаковские медики рассказали, как «золотой час» и новая технология спасли пациента с инсультом
- Саратовские врачи спасли истощённую пациентку со сложно диагностируемой формой рака
- Мужчина остался почти без волос после покупки лосьона на маркетплейсе: на восстановление понадобилось полгода