Балаковские кардиологи рассказали о главной зимней опасности для пациентов. Об этом рассказали в Telegram-канале ГУЗ СО «Балаковская городская клиническая больница».
Медики объяснили, что холод в сочетании с интенсивной физической активностью является мощным стрессовым фактором, вызывающим спазм сосудов и повышение потребности миокарда в кислороде. В январе 2026 года в региональном сосудистом центре Балаковской городской клинической больницы был зафиксирован ряд случаев, подтверждающих эту закономерность.
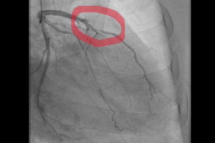
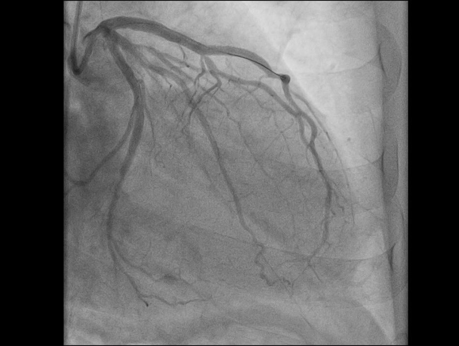
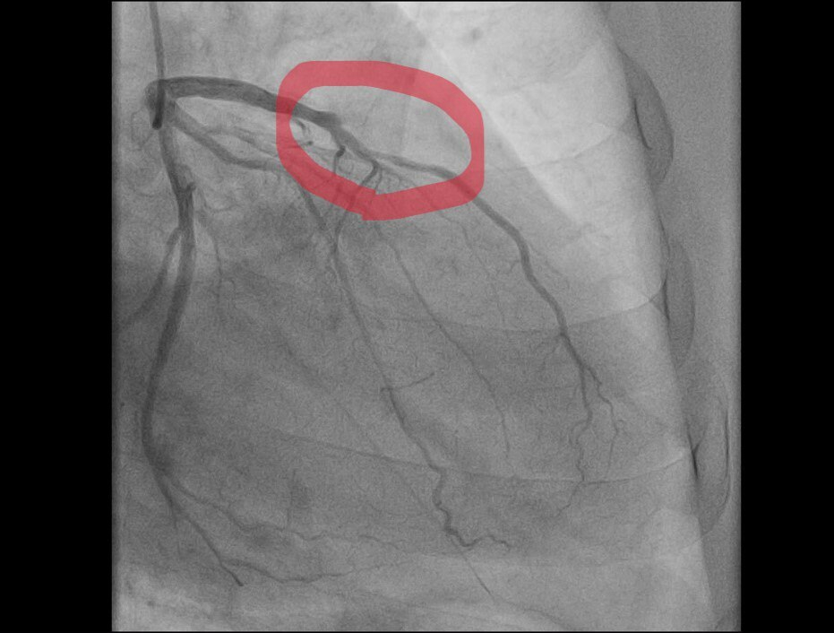
«Пациент, мужчина 59 лет, поступил после того, как почувствовал острую боль в груди во время уборки снега. Бригада „скорой“ диагностировала острый инфаркт миокарда. В ходе обследования была выявлена острая тромботическая окклюзия передней межжелудочковой артерии — сосуда, который неофициально называют „артерией вдов“ из-за высокой летальности при его поражении», — рассказали в балаковской больнице.
Операционная бригада выполнила экстренное стентирование артерии, в результате чего её проходимость была полностью восстановлена. После этого пациента выписали для продолжения реабилитации на амбулаторном этапе.
«Данный случай демонстрирует необходимость дозированной физической нагрузки, особенно при сложных погодных условиях и сильном морозе. Мы хотим напомнить: перегрузка в сочетании с холодовым спазмом может привести к катастрофическим последствиям!» — подчеркнул заведующий отделением рентгенохирургических методов диагностики и лечения (РХДиМЛ) БГКБ Алексей Струбалин.
- В Саратове спасли девочку с заболеванием, которое встречается в 2–18 случаях на миллион населения
- «Время охоты за монетами и косточками»: в январские каникулы лишь один мальчик попал к медикам с «находкой» в желудке
- Сложнейшую операцию провели жителю области, который полгода терпел одышку и думал, что «пройдет само»
- В Балаково провели революционную операцию на молодом пациенте с гематомой, сдавливавшей мозг
- Беременная пациентка провела в искусственной коме более месяца: история спасения
- «Заболевание в последнее время стало встречаться чаще»: 35-летний мужчина потерял способность ходить из-за воспаления