Небольшое образование под кожей поставило под угрозу жизнь жительницы Балаково. Об этом рассказали в Telegram-канале ГУЗ СО «Балаковская городская клиническая больница».
Как пояснили медики, под видом обычного жировика может скрываться смертельная угроза. В больницу обратилась пациентка с образованием в области ягодицы. Сначала опухоль была небольшой — около сантиметра, но в течение нескольких месяцев начала расти. Вместо визита к врачу женщина отправилась на массаж. Массажист, приняв новообразование за обычный застой, попытался «размять» его.
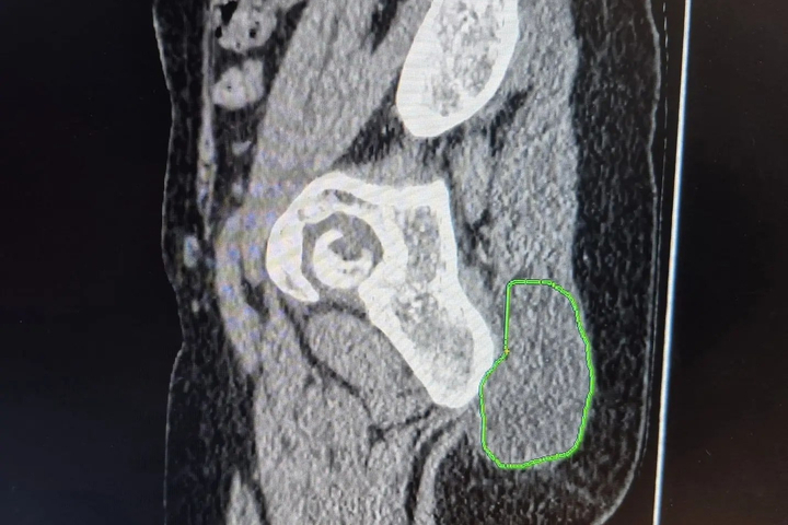
Результат оказался пугающим: после активного механического воздействия опухоль начала стремительно увеличиваться и достигла 10 сантиметров. Обследование в БГКБ (УЗИ, компьютерная томография и биопсия) показало, что «жировик» оказался злокачественным новообразованием, выросшим из жировой ткани.
«Любое новообразование, которое вы обнаружили у себя на голове, шее, туловище или конечностях, требует немедленного обращения к специалисту — хирургу или онкологу. Только врач может принять решение о дальнейшей тактике, и только морфологическое исследование (биопсия) под микроскопом даст окончательный ответ: доброкачественная это опухоль или нет.
Врачи уважают труд массажистов и ценят ту помощь, которую они оказывают пациентам в реабилитации. Но у нас есть огромная профессиональная просьба: никогда не массируйте выявленные опухоли и уплотнения! Если вы обнаружили у клиента подобное образование — направьте его к врачу! Механическое воздействие на злокачественную ткань может спровоцировать её бурный рост и метастазирование», — пояснил заведующий хирургическим отделением № 2 БГКБ Роман Тимохин. Медики также пояснили, что случай данной пациентки не является запущенным. После хирургического вмешательства у неё есть все шансы на полное выздоровление.
- Перелом таза и разрыв мочевого пузыря: врачи спасли мужчину, который попал в серьёзную аварию
- Горожанин два года жаловался на боль в животе и температуру: оказалось, что внутри него была большая рыбная кость
- Диагноз из сериала: саратовчанка подхватила редкую болезнь, «грызущую» кожу и органы
- В регионе 85-летней женщине удалили опухоль весом в 7,5 килограмма
- Подросток упал с велосипеда и ударился головой о камень: пострадавшему понадобилась трепанация черепа
- Кость была разрушена: врачи спасли руку пенсионера, неудачно упавшего на льду